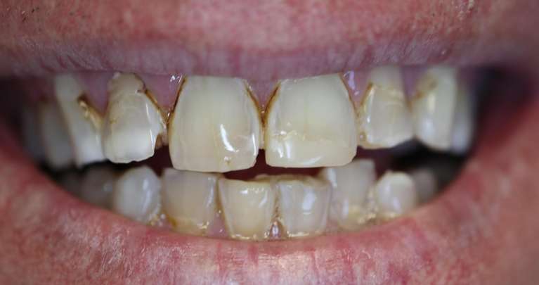
Full Mouth Reconstruction in High Point
Over the years, our teeth take quite a beating. Whether due to genetics, wear, or trauma, teeth can chip, fracture, discolor, or even go missing. If you’ve been putting off treatment because you have multiple dental issues and aren't sure where to start, full mouth reconstruction at Deep River Family & Cosmetic Dentistry offers a comprehensive way to reclaim your smile.
Full Mouth Reconstruction Quick Facts
- Goal: To restore full function, health, and aesthetics to the entire mouth.
- Customized Plan: Combines multiple treatments like implants, crowns, and veneers.
- Timeline: Varies based on complexity; can be completed in phases for comfort.
- Results: Improved chewing ability, clearer speech, and a balanced, natural look.
- Comfort: We offer compassionate, judgment-free care for patients with complex needs.







Countless studies indicate how important smiling is to our overall health and well-being. When you have a healthy, beautiful smile, you are comfortable sharing it with others.
Dental myths abound - from George Washington’s wooden teeth (yes, he had serious dental issues and wore dentures - including ivory, gold, and lead - but never wood) to the assertion that a tooth left in a glass of cola overnight will disintegrate. We love a good story as much as the next person, but since your dental health hinges on whether or not some of these are true, today we are acting as your personal mouth-myth busters.